Especialista em Periodontia - Especialista Cirurgia Plástica Gengival - Implantodontia
CRO-MG 19745
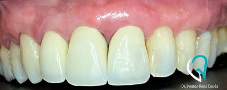
Caso 1
Muitas vezes uma reabilitação oral para ter um ótimo resultado tem a necessidade de melhorar a qualidade da gengiva
ao redor dos dentes e diminuir retrações gengivais, para isso faz necessário cirurgia de enxerto gengival.
Diagnóstico Inicial

Preparo do local a receber o enxerto gengival

Cirurgia de enxerto gengival

Tratamento restaurador protético realizado pelo Dr. Valdir Reis


Caso 2
Enxerto gengival região anterior inferior para melhorar a qualidade gengival e melhorar papila gengival para posterior reabilitação
Diagnóstico Inicial

Após tratamento cirúrgico e reabilitação

Caso 03
Tratamento de enxerto gengival região dos incisivos inferiores, para devolver a
saúde ao tecido gengival, melhorar a estética e diminuir sensibilidade
Diagnóstico inicial

Após tratamento realizado de enxerto gengival – controle de 2 anos

​
Caso 04
Foi realizado exerto gengival- técnica de epitélio na região do elemento 34. Ausência de gengival inserida, inflamação
gengival, sangramento e sensibilidade.
Diagnóstico Inicial

Tratamento Realizado

Caso 5
Tratamento periodontal região ântero-inferior e enxerto gengival
Diagnóstico Inicial

Tratamento Realizado

Caso 6
Cirurgia de enxerto gengival para melhorar a estética do sorriso e diminuir a sensibilidade dos dentes
Diagnóstico Inicial

Diagnóstico Inicial


Cirurgia do enxerto gengival


60 dias após a cirurgia realizada.


60 dias após a cirurgia realizada.

Caso 7
Cirurgia de enxerto gengival – região anterior superior
Diagnóstico Inicial

Tratamento de enxerto gengival realizado

Caso 8
Tratamento periodontal e enxerto gengival na região do canino
para posterior tratamento reabilitador protético de todos elementos
Diagnóstico Inicial
Cirurgia de enxerto gengival para melhorar a estética deste elemento
Controle de 2 meses após procedimento cirúrgico



Tratamento reabilitador realizado pelo Dr. VALDIR Reis



Caso 9
Tratamento periodontal e enxerto gengival elementos superiores e inferiores para melhorar
a estética e diminuir sensibilidade
Diagnóstico inicial



Após tratamento realizado de enxerto gengival, Controle de 5 anos



Caso 10
Tratamento de enxerto gengival região do canino superior para melhorar a estética e diminuir sensibilidade
Diagnóstico inicial

Após tratamento realizado de enxerto gengival – controle de 2 anos

Caso 11
Cirurgia de enxerto gengival região anterior para melhorar estética e melhorar qualidade gengival
Diagnóstico Inicial


Tratamento Realizado


Caso 12
Enxerto gengival técnica de túnel
Diagnóstico Inicial

Após tratamento de enxerto gengival realizado

Caso 13
Tratamento de enxerto gengival arcada superior e posteriormente tratamento estético com Dr. Dálcio Junior
Diagnóstico inicial




Controle de 9 meses - após enxerto gengival, deslocamento coronário e tratamento estético



Após tratamento cirúrgico de enxerto gengival

Caso 14
Tratamento periodontal região posterior inferior e enxerto gengival
Diagnóstico inicial

Tratamento realizado com enxerto gengival

Caso 15
Cirurgia de enxerto gengival região anterior superior para melhorar estética e melhorar qualidade da gengival
para posterior tratamento de troca das próteses.
Diagnóstico inicial

4 meses após tratamento realizado.

Caso 16
Tratamento periodontal e cirurgia de enxerto gengival na arcada superior para diminuir
sensibilidade e melhorar a estética
Diagnóstico inicial

Após tratamento cirúrgico de enxerto gengival

Caso 17
Enxerto gengival para melhorar a cor e qualidade da gengiva para futuro tratamento reabilitador .
Diagnóstico inicial mostrando um sorriso gengival com alteração na cor da gengiva e tamanho maior do dente


após procedimento cirúrgico de enxerto gengival

2 meses após a cirurgia do enxerto gengival

Tratamento restaurador finalizado com prótese unitária




